¿POR QUÉ SE BLOQUEAN LAS ARTERIAS? (ARTERIOESCLEROSIS)
- 9 ene 2024
- 5 Min. de lectura
Arterioesclerosis es la acumulación de mugre (conocido como placa arterial) de una arteria que impide total o parcialmente al flujo sanguíneo.
La condición Arterioesclerótica se genera por la INFLAMACION… NO POR.. REPITO, NO ES OCASIONADO POR ELEVADOS NIVELES DE COLESTEROL O PRESION ALTA O COMER GRASAS SALUDABLES.
El colesterol puede volverse un problema solo si se oxida y no es recogido por las partículas de HDL para ser reciclado, el cual este proceso puede verse irrumpido si persiste una inflamación crónica. De tal forma que la arteria se ve constantemente afectada / irritada / lastimada por lo cual se bloquea o reduce el espacio por el cual fluye la sangre, por esta razón el corazón se ve forzado bombear con mayor esfuerzo para asegurarse de hacer llegar la misma cantidad de flujo sanguíneo junto con sus nutrientes, oxigeno, etc.. a cada rincón de nuestro cuerpo y como consecuencia percibimos un aumento en presión arterial. Y como podemos ver la presión sanguínea elevada es una consecuencia y no la causa. De la misma manera, el colesterol es una variable en nuestro cuerpo que depende de nuestros requerimientos diarios, entonces este se proporcionara en paquetes de VDL / LDL, por lo tanto el colesterol elevado es una consecuencia y no la causa.
También debo de aclarar que las PLACAS ARTERIALES SE FORMAN EN LA PARED DE LA ARTERIA Y NO DENTRO DE LA ARTERIA COMO SE LES HACE CREER.
El proceso Inflamatorio
Siempre que exista una herida a cualquier tejido, ya se cortada o raspada, la respuesta inmediata e inteligente de nuestro organismo es generar inflamación como mecanismo para alertar y hacer llegar a todos requerimientos de respuesta de emergencia al sitio del daño.
En su inteligencia innata, el cuerpo activa al sistema inmune para que se encargue del sitio del daño / herida para destruir y contener a cualquier invasor. Y en realidad lo que ocurre es que el hígado sintetiza a una proteína llamada C-reactiva que fluye dentro del torrente sanguíneo de una forma inactiva, de tal forma, que cuando se topan con celular muertas (restos) se adhieren a un fosfolípido localizado en la membrana celular. Esta acción activa al sistema innato inmune complementario vía un complejo de reclutar células fagocíticas que se comen a los microbios y células dañadas y atacan a las membranas celulares de los patógenos que puedan infectar al tejido dañado. ( Por esta razón es que cuando los estudios de sangre muestran niveles elevados de proteína c-reactiva , nos indican de un proceso inflamatorio). Durante este periodo, las plaquetas que contienen receptores de trombina, convirtiendo a la fibrinógena en fibrina que cubre a las heridas irrumpiendo el sangrado. Una vez que los preliminares se completan, inicia el proceso de reparación.
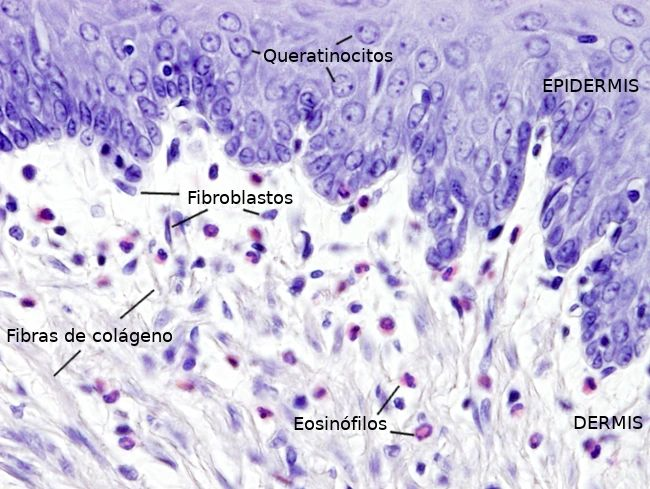
Reparación fibroblástica
En el endotelio, una delgada cubierta de células que cubren a vasos sanguíneos y linfáticos de todo el sistema circulatorio, si se ve afectada o si existe destrucción celular, se requiere de un proceso inflamatorio para lograr su reparación a partir de tejido nuevo que es instalado por células especiales llamadas Fibroblastos que su función es establecer y mantener la integridad del tejido conectivo. Y éste es a partir de dos componentes principales colágeno y colesterol.
Existe una sociedad entre Infamación y Reparación
En una persona sana esta relación trabaja a contrarreloj, pero en el caso de cuando la constante irritación o daño al tejido no cese, la inflamación será constante por lo tanto será decisión de la persona descubrir o cambiar el estilo de vida de tal forma que tendrá que eliminar todos los factores que estén contribuyendo a este daño constante.
Colesterol culpado de Muertes
Existe abundante información que culpa al colesterol de bloquear arterias y ocasionar muertes y una gran cantidad de gente se la cree y compra esa creencia, pero no abundare en este tema por el momento, sin embargo relatare una analogía.
Cuando existe un fallecimiento y realizan un análisis a las posibles causas del fallecimiento, si encuentran placa arterial en el cuerpo y la analizan, pues encontraran colesterol como otras cosas mas, sin embargo culpan al colesterol como la causa de la muerte, sin embargo como previamente les he explicado del mecanismo de acción ante una efectuación, herida, irritación, etc.. se requiere como materia prima para la repagino del tejido al colesterol. Pero estos hechos biológicos no venden químicos para prevenir al colesterol de cumplir con su función.
Substancias y productos que dañan al endotelio arterial
Un sinnúmero de substancias pueden causar daño al endotelio del sistema circulatorio generando complicaciones en su funcionamiento adecuado.
Desde nuestra piel se absorbe cualquier cosa con el cual tengamos contacto, desde parches farmacéuticos o cremas generando una disyunción de la piel. Los medicamentos entran al torrente sanguíneo a partir de la destrucción intestinal directamente al hígado. Por lo tanto debemos de pensar que si la industria lo hizo, no lo consumas, de igual forma no te lo pongas en la piel o no te la untes sino te la puedes comer, entonces la pasta dental con flúor, shampoos químicos, baños de burbujas, gel para la ducha, cosméticos, perfumes, desodorantes, cremas para la piel, protectores solares, etc.; son tóxicos y pueden dañar al epitelio.
Productos de limpieza del hogar, lavandería, platos también son tóxicos y se pueden absorber por la piel o vía inhalación. Fuera de casa existen complejos industriales que emanan químicos tóxicos , pesticidas, fungicidas, etc. en la agricultura son fuentes de toxicidad.
El agua de la ciudad tratada con químicos, la comida procesada de la industria, comida rápida todos estos contienen químicos tóxicos y son deficientes nutricionalmente de tal forma que contamina a nuestro organismo generando un deterioro de nuestra salud desde problemas gastrointestinales que a partir de nuestra capacidad de absorber los nutrientes y cumplir con los requerimientos individuales se ve comprometido por el daño que estos químicos tóxicos generan y aparecen los múltiples padecimientos.
La importancia de nuestro microbioma intestinal es crucial para mantener un sistema inmune fuerte ya que este forma parte de 80 % de nuestro sistema inmune. ¿Sabían ustedes que en las placas arteriales también se encuentran microbios patogénicos como son el herpes zoster o helicobacter pylori?
Además, cientos de compuestos tóxicos se producen a partir de una flora intestinal deteriorada donde la flora patógena tiende a predominar sobre la flora benéfica. Y una vez que estos patógenos se introducen a nuestro sistema circulatorio empiezan a atacar al edotelio.
Por esta razón es importante consumir los 90 nutrientes esenciales para que nuestro cuerpo se mantenga ,se defienda y se autorepare, en particular el área de discusión, el endotelio. La deficiencia nutricional ya sea por hábitos alimenticios inapropiados o por bloqueos metabólicos por alergias alimentarias, intolerancias, daños gastrointestinales, etc. es la razón de las enfermedades crónico degenerativas; incluyendo la arterioesclerosis, Alzheimer, diabetes, artritis, Parkinson. Obesidad, Eczema, Psoriasis, etc.. porque tu cuerpo esta intentando repararse con herramientas esenciales deficientes.
Todo estrés físico, químico / nutricional o emocional activa al funcionamiento de las glándulas adrenales para producir cortisol el cual esta diseñado para actuar por periodos cortos, pero cuando son periodos largos resulta contraproducente ya que degrada a la piel, aumenta de peso, problemas gastrointestinales, problemas hormonales, problemas mentales, problemas neurológicos, fatiga crónica, problemas de reparación, problemas del crecimiento, problemas de aprendizaje, etc...
Conclusiones
En tus manos esta elegir, evitar la arterioesclerosis y las múltiples enfermedades crónico degenerativas, y permitir a tu cuerpo que autorepare o dejarlo que se salga de control llevándolo hasta una paro cardiaco. Tu estilo de Vida incluyendo hábitos alimenticios son primordialmente importante para evitar esta y muchas condiciones de enfermedades mas. Si sospechas o formas parte de un estilo de vida nutricional tóxico y deficiente nutricionalmente requieres poner un ALTO a lo que estas haciendo y cambiar tus hábitos alimenticios, estilos de atención de tu salud de una manera que valore y respeta a los procesos propios del organismo y no atacando los síntomas sino atendiendo la raíz causa de los padecimientos de manera integral:
Tu sistema nervioso quien es quien coordina y controla a todas las funciones de tu organismo y para esto es esencial tu Columna Vertebral con un especialista Quiropráctico correctivo.
Atender los bloqueos nutricionales, alergias / intolerancia alimentarias, desintoxicar, hipersensibilidad alimentaria.
Descansar de una forma restauradora.
Atender aspectos emocionales por medio de meditación , introspección , etc..
Realizar ejercicio apropiado y suficiente.
Haz una cita: (81)-8345-45-85 al 89 Monterrey, Nuevo León, MX. www.drdavidgarita.com












